
Tratamientos


Estética y Blanqueamiento
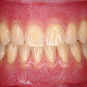
Mejorar la apariencia de la sonrisa mediante técnicas de blanqueamiento dental, carillas y coronas de cerámica para mejorar forma, color y posición de dientes.
Procedimientos de armonización orofacial:
Skinbooster: piel seca, falta de turgencia, luminosidad.
Aplicación de vitaminas: asociado o no a skinbooster.
Toxina botulínica.
Labios: humectación o mejorar forma y-o volumen.
Pigmentación de ojeras
Arrugas en "código de barras" alrededor de boca, arrugas finas en mejillas, contorno de ojos, etc.
Chequeo dental
Hoy en día la prevención es la medida más esencial para conservar nuestra dentadura en perfecto estado. Para ello debes realizar chequeos o controles dentales. La frecuencia del control lo determina el dentista según tu riesgo de caries. En estos controles se pesquizan las caries desde su inicio y se pueden tratar sin necesidad de hacer una tapadura, se realizan las limpiezas dentales, fluoración, etc.
Implantología
Especialidad dedicada a la sustitución de dientes ausentes mediante la colocación de implantes o tornillos de titanio que reemplazan las raíces perdidas. Sobre éstos se colocan dientes fijos (coronas) o prótesis para reponer las piezas naturales perdidas.
Armonización Orofacial
¿En qué consiste esta disciplina? Es el secreto para rejuvenecer y darle una nueva armonía a tu rostro de manera natural, sin cirugías
Con tratamientos mínimamente invasivos y altos estándares de seguridad, nuestro equipo está aquí para atenuar los efectos del envejecimiento en la piel
¡Porque tu belleza merece ser resaltada!
Prótesis removible
Cuando hay ausencia de uno o más dientes y por diversos motivos no podemos colocar implantes con dientes fijos, existe una excelente alternativa la cual consiste en confeccionar prótesis removibles totales o parciales con las que se devuelve la función y estética de los dientes perdidos. Ver las imágenes a continuación.




